У лікарні на Волині використовують високоточне обстеження судин для лікування неконтрольованого тиску

У лікарні на Волині використовують високоточне обстеження судин для лікування неконтрольованого тиску

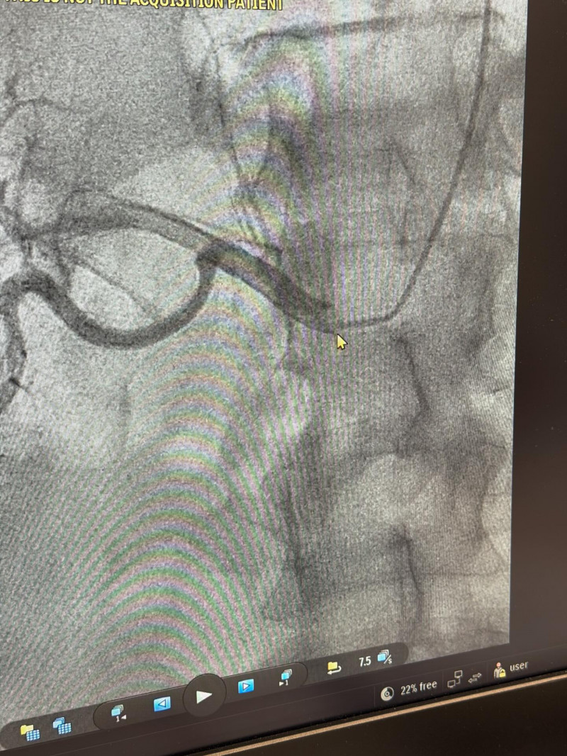
У Володимирському ТМО проводять ангіографію ниркових артерій — високоточне обстеження, яке допомагає виявити звуження, аневризми чи тромбози судин і визначити причину неконтрольованої артеріальної гіпертензії. Процедура мінімально інвазивна, безпечна та дає лікарю точні дані для вибору ефективного лікування.

Сучасна ангіографія поступово стає «золотим стандартом» у діагностиці судинних причин підвищеного тиску, інформують у медзакладі.

Що дозволяє виявити ангіографія?

  • звуження (стеноз) ниркових артерій;
  • аневризми або тромбози;
  • вроджені чи набуті аномалії судинного русла.

Навіщо проводять це дослідження?

Ангіографія допомагає:

  1. оцінити ступінь звуження або блокування судин;
  2. точно визначити причину підвищеного тиску;
  3. підтвердити або виключити реноваскулярну гіпертензію — стан, коли гіпертензія пов’язана саме з ураженням ниркових артерій.

Як проходить процедура?

Через катетер у судину вводиться рентгенконтрастна речовина, завдяки якій артерії стають чітко видимими. Ангіограф дозволяє отримати детальне зображення судин у реальному часі та оцінити їхній стан з максимальною точністю.

Чому це важливо?

Результати ангіографії дають лікарю змогу не лише встановити точну причину неконтрольованої гіпертензії, а й обрати найефективнішу тактику лікування.

Ангіографія — це мінімально інвазивна безпечна інформативна процедура з швидким отриманням результатів.

У лікарні на Волині використовують високоточне обстеження судин для лікування неконтрольованого тиску

Особливою перевагою є ендоваскулярні технології: у разі потреби лікар може не лише діагностувати проблему, а й одразу виконати лікувальне втручання, наприклад стентування звуженої судини.

«Сьогодні ангіографія поступово стає «золотим стандартом» у діагностиці судинних причин артеріальної гіпертензії. Завдяки сучасним технологіям у Володимирському ТМО пацієнти мають доступ до точних діагностичних методів, які допомагають зберегти здоров’я та якість життя», – йдеться у дописі.

Читайте також:

Можливо зацікавить

Загинув наприкінці червня 2024 року: на Волині попрощалися з Героєм Андрієм Оніщуком
фото

Загинув наприкінці червня 2024 року: на Волині попрощалися з Героєм Андрієм Оніщуком

Зачепився за палицю і впав: волинський спортсмен травмувався під час тренування на Паралімпійських іграх

Зачепився за палицю і впав: волинський спортсмен травмувався під час тренування на Паралімпійських іграх

Рідні рік і 8 місяців жили надією та вірою у диво: на Волині попрощаються із захисником Андрієм Шишкіним

Рідні рік і 8 місяців жили надією та вірою у диво: на Волині попрощаються із захисником Андрієм Шишкіним

На Волині знайшли тіло чоловіка

На Волині знайшли тіло чоловіка

Міг напоїти метелика з кришечки і вмів вести важку техніку в бій: спогади про Героя з Волині

Міг напоїти метелика з кришечки і вмів вести важку техніку в бій: спогади про Героя з Волині

Вишиває для душі, в’яже – для фронту: як майстриня з Волині допомагає захисникам

Вишиває для душі, в’яже – для фронту: як майстриня з Волині допомагає захисникам

Встають до теплиць серед ночі: як на Волині вирощують ранні огірки
відео

Встають до теплиць серед ночі: як на Волині вирощують ранні огірки

На Волині попрощаються із захисником Анатолієм Бобчуком

На Волині попрощаються із захисником Анатолієм Бобчуком

У лікарні на Волині пацієнту видалили великі камені з жовчного міхура через незначні розрізи

У лікарні на Волині пацієнту видалили великі камені з жовчного міхура через незначні розрізи